Novel treatment for recurrent glioblastoma shows promising results

""

Researchers Farshad Nassiri, left, and Gelareh Zadeh found that a new therapy for glioblastoma can prolong patient survival (photos courtesy of UHN)

An international clinical trial led by researchers at University Health Network (UHN) and the University of Toronto has shown that a new therapy for recurrent glioblastoma prolongs patient survival, in some cases by several years.

The novel therapy involves the combination of an oncolytic virus, engineered to selectively infect and kill cancer cells, and type of a targeted immunotherapy called immune checkpoint inhibition.  

“The initial clinical trial results are promising,” said the study's principal investigator Gelareh Zadeh, a neurosurgeon-scientist at UHN, where she is co-director of the Krembil Brain Institute.

“We are cautiously optimistic about the long-term clinical benefits for patients," said Zadeh, a professor in the department of surgery at the Temerty Faculty of Medicine who also holds the Dan Family Chair in Neurosurgery and the Wilkins Family Chair in Brain Tumour Research.

The study's findings were published in the journal Nature Medicine.

""

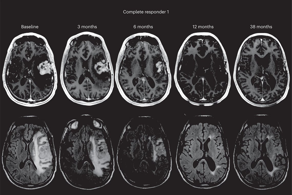
Imaging from the study following infusion of the oncolytic immunotherapy DNX-2401 (supplied image)

Glioblastoma is a notoriously difficult-to-treat primary brain cancer. Despite aggressive treatment, which typically involves surgical removal of the tumour and multiple chemotherapy drugs, the cancer often returns – at which point further treatment options are scarce.

To meet the urgent need for new therapies, Zadeh and her colleagues evaluated the new treatment in 49 patients with recurrent disease from 15 hospital sites across North America. University Health Network was the only Canadian site and treated most of the patients enrolled in the trial. 

First, the team slowly injected the virus directly into the tumour using stereotactic techniques, which are minimally invasive and guided by imaging and other technologies. Patients then received a common immune checkpoint inhibitor intravenously once every three weeks, starting one week after surgery.

Immune checkpoint inhibitors are effective treatments for a variety of cancers, but have had limited success in treating recurrent glioblastoma. 

“These drugs work by preventing cancer’s ability to evade the body’s natural immune response, so they have little benefit when the tumour is immunologically inactive, as is the case in glioblastoma,” Zadeh said.

“Oncolytic viruses can overcome this limitation by creating a more favourable tumour microenvironment, which then helps to boost anti-tumour immune responses."

 

 

The combination of these viruses and immune-checkpoint inhibitors results in a “double hit” to tumours: the virus directly kills cancer cells and stimulates local immune activity that makes the cancer cells more vulnerable to targeted immunotherapy. 

The therapy had no major unexpected adverse effects and yielded a median survival of 12.5 months – considerably longer than the six to eight months typically seen with existing therapies. 

“We’re very encouraged by these results,” said Farshad Nassiri, first author on the study and a senior neurosurgery resident at U of T.

“Over half of our patients achieved a clinical benefit – stable disease or better – and we saw some remarkable responses with tumours shrinking, and some even disappearing completely. Three patients remain alive at 45, 48 and 60 months after starting the clinical trial.”

The researchers also performed experiments to define mutations, gene expression and immune features of each patient’s tumour. They discovered key immune features that could eventually help clinicians predict treatment responses and understand the mechanisms of glioblastoma resistance – the first study of its kind for brain tumours.  

Zadeh said that in general, the drugs used in cancer treatments do not work for every patient, but that a subpopulation of glioblastoma patients that will likely respond well to the new treatment. She also said that this kind of translational research, which combines basic bench science and clinical trials, is key to moving personalized treatments for glioblastoma forward. 

“The trial would not have been possible without our incredible OR teams, research safety teams and researchers – including Dr. Warren Mason at Princess Margaret Cancer Centre – and our brave patients and their families. We’re also grateful to the Wilkins Family for providing the funds to enable us to complete trials that advance care for our patients,” Zadeh said. 

The next steps for the researchers are to test the effectiveness of the combination therapy against other treatments in a larger, randomized clinical trial. 

The research was supported by DNATrix Inc., Merck & Co. Inc., the Princess Margaret Cancer Centre Foundation and the UHN Foundation.

Read the original story at the UHN website

The Bulletin Brief logo

Subscribe to The Bulletin Brief

UTC